Dr. Marcelo Peron
CRM: 156.254 RQE: 76.858 / 76.858-1
CRM: 156.254 RQE: 76.858 / 76.858-1

Cuide de quem te mantém vivo.
As doenças cardiovasculares, afecções do coração e da circulação, representam a principal causa de mortes no Brasil. São mais de 1.100 mortes por dia, cerca de 46 por hora, 1 morte a cada 90 segundos. A Sociedade Brasileira de Cardiologia estima que, ao final deste ano, quase 400 mil cidadãos brasileiros morrerão por doenças do coração e da circulação. Muitas dessas mortes poderiam ser evitadas ou postergadas com cuidados preventivos e medidas terapêuticas. O alerta, a prevenção e o tratamento adequado dos fatores de risco e das doenças cardiovasculares podem reverter essa grave situação.
Cardiologia
Ramo da medicina responsável pelo diagnóstico e tratamento das doenças que acometem o coração, atuando também na orientação e prevenção de problemas cardíacos.

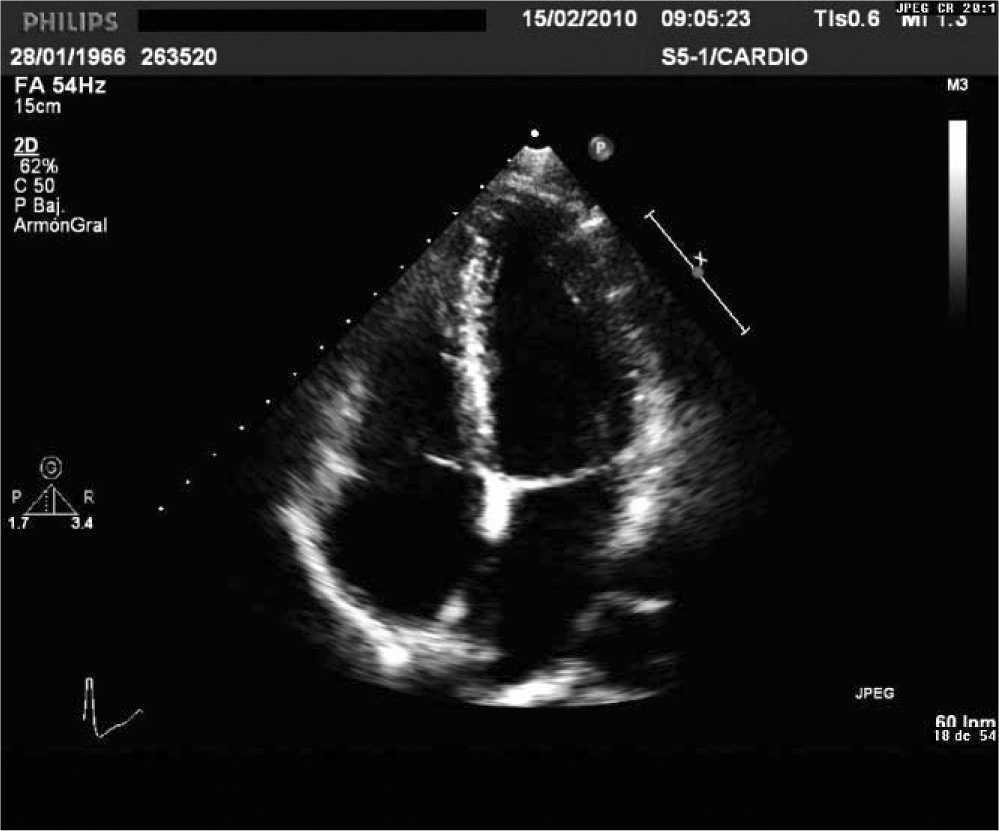
Ecocardiografia
É um exame de ultrassom do coração, simples, rápido e indolor, altamente eficiente para avaliar a função do coração, o tamanho, as válvulas, se há alguma sequela de infarto ou outras doenças cardíacas.

Residência em Clínica Médica pela Faculdade de Medicina de Marília - FAMEMA (2013-2015) Residência em Cardiologia pela Universidade Federal de São Paulo - UNIFESP (2015-2017) Residência em Ecocardiografia pelo Instituto do Coração - INCOR USP (2017-2019). Título de Especialista em Cardiologia (2017) e Ecocardiografia (2019) pela Sociedade Brasileira de Cardiologia. Atendimento como cardiologista clínico desde 2017, atuando também como ecocardiografista desde 2019. Experiência no diagnóstico e tratamento das doenças do coração. Realizei mais de 8.000 exames de ecocardiografia até o momento.

Consulta com duração de aproximadamente 45 minutos, em ambiente calmo, onde são ouvidas todas as queixas relacionadas ao problema, realizado exame físico completo e tirado todas as dúvidas. Retorno para reavaliação não é cobrado.